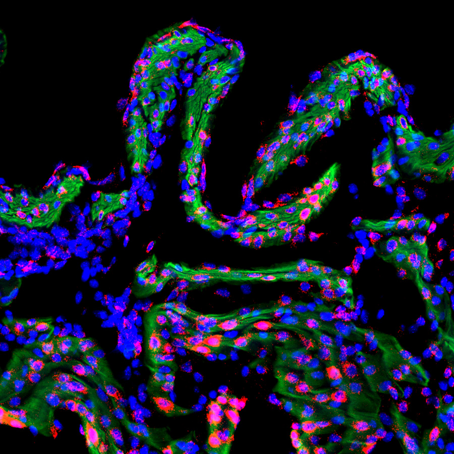
PIEZO1 transcripts in human uterine muscle at term. Green indicates smooth muscle fibers in the uterus, red marks PIEZO1 mRNA, and blue shows cell nuclei. Credit: Scripps Research

Scripps Research study reveals how uterine contractions are regulated by stretch and pressure during childbirth

Molecular insights could lead to improved labor and pain treatments.

November 13, 2025


LA JOLLA, CA—When labor begins, the uterus must coordinate rhythmic, well-timed contractions to deliver the baby safely. While hormones such as progesterone and oxytocin are key contributors to that process, scientists have long suspected that physical forces—in this case, the stretching and pressure that accompany pregnancy and delivery—also play a role.

Now, a new study from Scripps Research published in Science on November 13, 2025, reveals how the uterus senses and responds to those forces at a molecular level. The findings could help scientists better understand the biological roots of conditions such as stalled labor and preterm birth, guiding future efforts to develop treatments that improve maternal care.

“As the fetus grows, the uterus expands dramatically, and those physical forces reach their peak during delivery,” says senior author Ardem Patapoutian, a Howard Hughes Medical Institute Investigator and the Presidential Endowed Chair in Neurobiology at Scripps Research. “Our study shows that the body relies on special pressure sensors to interpret these cues and translate them into coordinated muscle activity.”

Gja1 transcripts in mouse uterine muscle near the end of pregnancy Gja1 transcripts in mouse uterine muscle near the end of pregnancy (gestational day 18.5). Gja1 encodes connexin 43, a protein that increases at this stage to help coordinate uterine contractions. Green indicates smooth muscle fibers in the uterus, red marks Gja1 mRNA, and blue shows cell nuclei. Credit: Scripps Research

Click here for a high-resolution image.

Patapoutian shared the 2021 Nobel Prize in Physiology or Medicine for discovering the sensors that allow cells to detect touch and pressure. These sensors are specialized ion channels formed by the proteins PIEZO1 and PIEZO2, which help the body detect and respond to physical force.

In this new study, Patapoutian and his team found that these two proteins also have distinct, complementary roles during childbirth: PIEZO1 is mainly active in the uterine smooth muscle, sensing pressure as contractions build, while PIEZO2 is found in the sensory nerves of the cervix and vagina, where it’s activated by stretch from the descending fetus and enhances uterine contractions via a neural reflex. Working together, the proteins translate physical stretch and pressure into electrical and chemical signals that help the uterus contract in a coordinated rhythm. Each may partly compensate for the other, ensuring that labor continues even if one pathway is disrupted.

Using mouse models, the research team selectively deleted PIEZO1 and PIEZO2 from either the uterus or the sensory nerves surrounding the cervix and vagina. Pressure sensors implanted in pregnant mice recorded the strength and rhythm of contractions during natural labor. Mice missing both proteins displayed reduced uterine pressure and delayed delivery—indicating that both smooth muscle-based and nerve-based sensing work cooperatively, and that losing both pathways significantly impairs labor.

Further analysis revealed that PIEZO activity regulates expression of connexin 43, a protein that forms gap junctions: microscopic channels that link neighboring smooth muscle cells, so they contract in unison. Without PIEZO signaling, connexin 43 levels dropped, and the coordination between smooth muscle cells was compromised.

“Connexin 43 is the wiring that allows all the muscle cells to act together,” says first author Yunxiao Zhang, a postdoctoral research associate in Patapoutian’s lab. “When that connection weakens, contractions lose strength.”

Additionally, human uterine tissue samples showed similar PIEZO1 and PIEZO2 expression patterns as those in mice, suggesting that a comparable force-sensing mechanism may operate in people, too. This could help explain certain labor complications, such as weak or irregular contractions that prolong delivery. Together, the findings are consistent with clinical observations that complete sensory nerve block causes prolonged labor during childbirth.

“In clinical practice, epidurals are given in carefully controlled doses because blocking sensory nerves completely can make labor much longer,” notes Zhang. “Our data mirror that phenomenon; when we removed the sensory PIEZO2 pathway, contractions weakened, suggesting that some nerve feedback promotes labor.”

The research team’s results open possibilities for more refined approaches to labor management and pain relief. If scientists can identify molecules that modulate PIEZO activity safely, they may one day be able to dampen or enhance uterine contractions as needed. For mothers at risk of preterm labor, a PIEZO1 blocker—if developed—to slow contractions could complement existing drugs that relax muscle tissue by limiting calcium entry into cells. Conversely, a compound that activates PIEZO channels might help strengthen contractions in stalled labor.

Although such clinical applications remain distant, the foundational science continues to take shape. The research team is now investigating how PIEZO signaling interacts with hormonal pathways that regulate pregnancy. Prior studies have shown that progesterone—the hormone that keeps the uterus relaxed during pregnancy—can suppress connexin 43 expression even when PIEZO channels are active, ensuring contractions don’t start prematurely. When progesterone levels drop near term, the PIEZO-driven calcium signals may help initiate the chain of biological events that lead to delivery.

“PIEZO channels and hormonal cues are two sides of the same system,” points out Zhang. “Hormones set the stage, and force sensors help determine when and how strongly the uterus contracts.”

Future work will delve deeper into the nerve pathways involved, since not all sensory fibers around the uterus contain PIEZO2. Some may respond to other stimuli and serve as backups when PIEZO2 is absent. Understanding which sensory nerves promote labor versus which convey pain could eventually lead to more precise forms of pain control that don’t slow delivery.

For now, the findings establish that the body’s ability to sense force isn’t limited to touch or balance—it’s also vital for one of life’s most fundamental biological events.

“Childbirth is a process where coordination and timing are everything,” says Patapoutian. “We’re now starting to understand how the uterus acts as both a muscle and a metronome to ensure that labor follows the body’s own rhythm.”

In addition to Patapoutian and Zhang, authors of the study “PIEZO channels link mechanical forces to uterine contractions in parturition,” include Sejal A. Kini, Sassan A. Mishkanian, Oleg Yarishkin, Renhao Luo, Saba Heydari Seradj, Verina H. Leung, Yu Wang, M. Rocío Servín-Vences, William T. Keenan, Utku Sonmez, Manuel Sanchez-Alavez, Yuejia Liu, Xin Jin, Li Ye and Michael Petrascheck of Scripps Research; Darren J. Lipomi of the University of California San Diego; and Antonina I. Frolova and Sarah K. England of WashU Medicine.

This work was supported by the Abide-Vividion Foundations; the Baxter Foundation; the BRAIN Initiative; the Chan Zuckerberg Initiative; the Dana Foundation; the Dorris Scholar Award; the George E. Hewitt Foundation for Medical Research postdoctoral fellowship; the Howard Hughes Medical Institute Investigators; the Merck Fellow of the Damon Runyon Cancer Research Foundation (DRG-2405-20); the National Institutes of Health (NIH Director’s New Innovator Award DP2DK128800, and grants R35 NS105067, R01 AT012051 and R01 AG067331); the National Science Foundation (grant CMMI-2135428); the WashU Reproductive Specimen Processing and Banking Biorepository (ReProBank); and the Whitehall Foundation.


For more information, contact press@scripps.edu See More News